Premium Implantes
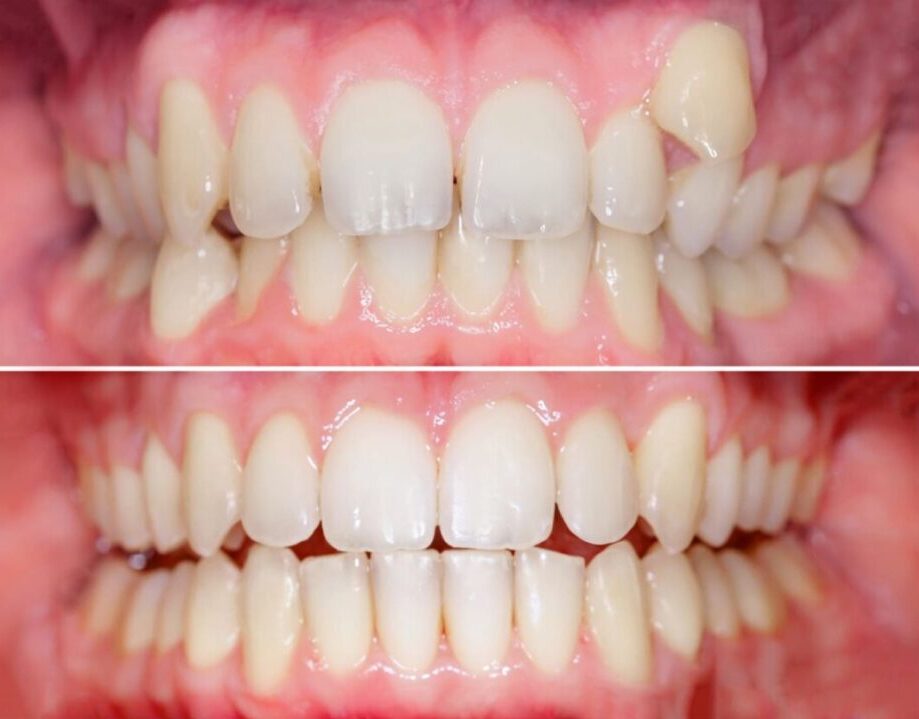
Na Premium Implantes, oferecemos a solução ideal para alinhar seus dentes sem comprometer a sua estética! Os nossos Alinhadores Invisíveis são confortáveis, práticos e garantem resultados excelentes com total discrição.
Invisalign® - Alinhadores Dentários Invisíveis
Na Premium Implantes, oferecemos a solução ideal para alinhar seus dentes sem comprometer a sua estética! Os nossos Alinhadores Invisíveis são confortáveis, práticos e garantem resultados excelentes com total discrição.



Uma das grandes inovações do Invisalign® é o material que utilizado em cada alinhador: o poliuretano, também conhecido como SmartTrack. Esse plástico avançado foi especialmente desenvolvido para otimizar a movimentação dentária de forma previsível e eficaz (inteligente). Aqui estão algumas das vantagens incríveis:
Com o SmartTrack, a pressão aplicada nos dentes é contínua e controlada, o que resulta em uma movimentação mais eficaz e previsível ao longo do tratamento.
Alinhadores feitos com SmartTrack são mais duráveis, resistindo ao desgaste do dia a dia e mantendo a eficiência por mais tempo, para que o paciente tenha resultados ótimos e consistentes.
Esse material transparente permite que o paciente sorria e fale com confiança durante o tratamento, sem interferências na estética.
Fácil de remover para comer e escovar os dentes, sem prejudicar sua rotina
Tratamento personalizado que garante resultados eficazes em menos tempo.
Diferente de outros materiais, o SmartTrack se adapta aos dentes de forma suave e precisa, garantindo um tratamento mais confortável para o paciente.
Além disso, os alinhadores invisíveis podem tratar uma ampla variedade de problemas ortodônticos, como dentes desalinhados, espaçamentos, mordidas cruzadas, entre outros.
E mais! Você precisará de menos consultas ao dentista: geralmente, as consultas de acompanhamento são menos frequentes.
Agende sua avaliação com nossos especialistas para analisar o seu sorriso e definir o melhor plano de tratamento.
Com tecnologia de ponta, criaremos um plano digital do seu novo sorriso, e você poderá visualizar o resultado antes mesmo de começar!
Você receberá uma série de alinhadores que serão trocados periodicamente, movendo seus dentes gradualmente até a posição desejada.
Nossos especialistas estarão ao seu lado em cada fase para garantir que o tratamento ocorra da melhor forma.
sorrisos transformados
anos de experiência
Especialistas Qualificados
lorem ipsum
Contamos com tecnologia avançada. Usamos os melhores materiais e ferramentas digitais para garantir a máxima precisão e conforto. E nosso suporte completo: Prestamos acompanhamento durante todo o processo para que você tenha a melhor experiência.
Estou adorando os resultados! Os alinhadores são super confortáveis e ninguém percebe que estou usando. Recomendo demais a Premium Implantes.
A melhor decisão que tomei foi investir nos alinhadores invisíveis. Em poucos meses já noto a diferença e o atendimento na clínica foi incrível.
Não perca mais tempo! Transforme seu sorriso com alinhadores invisíveis na Premium Implantes e tenha a confiança que você merece.
Agende sua avaliação com nossos especialistas. Estamos prontos para te ajudar a alcançar o sorriso dos seus sonhos!